顎変形症治療アトラス 顎変形症の症例 | 鶴木クリニック医科・歯科鶴木クリニック医科・歯科
(3011件)
Pontaパス特典
サンキュー配送
6000円(税込)
60ポイント(1%)
Pontaパス会員ならさらに+1%ポイント還元!
送料
(
)
3002
配送情報
お届け予定日:2026.04.14 15:51までにお届け
※一部地域・離島につきましては、表示のお届け予定日期間内にお届けできない場合があります。
ロットナンバー
2467696308
お買い物の前にチェック!
Pontaパス会員なら
ポイント+1%
ポイント+1%
商品説明

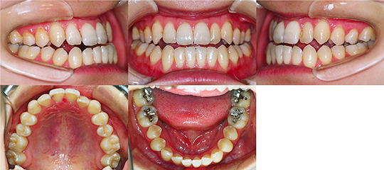
顎変形症の治療に関する詳細なアトラス。- タイトル: 顎変形症治療アトラス- 英語タイトル: Treatment of Jaw Deformities, An Atlas- 著者: 高橋三郎, 黒田敏之, 服部俊彦- 出版社: 医歯薬出版株式会社ご覧いただきありがとうございます。
| カテゴリー: | 本・雑誌・漫画>>>本>>>健康・医学 |
|---|---|
| 商品の状態: | やや傷や汚れあり","目につく傷や汚れがある |
| 配送料の負担: | 送料込み(出品者負担) |
| 配送の方法: | 佐川急便/日本郵便 |
| 発送元の地域: | 福岡県 |
| 発送までの日数: | 2~3日で発送 |
レビュー
商品の評価:




4.5点(3011件)
- たんぺんかな
- 2歳半の子供のために購入しました。 たくさん言葉を覚えたりいろんな物に興味を持つ時期なので、 「ぞうさんは?」などと聞くと「これ!」と楽しそうに指差しています。 絵がかわいいです。 英語はまだ必要ありませんが、そのうち覚えていくのかな?と思っています。
- 真夜中の精神的な猫
- アイリーンがお母さんの代わりにドレスをお屋敷に届けに行く姿が、実に印象的で、読んでいるこちらにも伝わってきます。読了後の満足感をぜひ味わってほしい作品です。
- kmbys30
- 2歳半の双子の子供たちに読んであげたくて購入しました。 子供がわかりやすい動物が次々と出てくるので、喜んで見ています。 絵もお話も優しくて好きです。 「どうぞ」をできるようになってほしいなあと思っています。
- うしおかさん
- クレヨンシリーズが気に入ったのでこちらのシリーズも購入。子供もとても気に入ってます。
- 祐20306973
- ひとまねこざる、おさるのジョージ、どちらが印象深いでしょう? そんなH.A.レイの隠れた名作、ガブリエリザちゃん。そのネーミングもさることながら、得のインパクト、ストーリーと楽しめる逸品です。
- せぶんすた4954
- 孫の誕生日プレゼントです。 1歳から 選びました。 喜んでくれると思います。
すべて見る
お店の情報
7,367
連絡・応対
4.3
配送スピード
4.3
梱包
4.3










