健康・医学 Restorative Design & Practical Occlusion RESTORATIVE DESIGN & PRACTICAL OCCLUSION 実践的咬合/医歯薬出版
(3011件)
Pontaパス特典
サンキュー配送
15022円(税込)
151ポイント(1%)
Pontaパス会員ならさらに+1%ポイント還元!
送料
(
)
3002
配送情報
お届け予定日:2026.04.14 15:51までにお届け
※一部地域・離島につきましては、表示のお届け予定日期間内にお届けできない場合があります。
ロットナンバー
2467679073
お買い物の前にチェック!
Pontaパス会員なら
ポイント+1%
ポイント+1%
商品説明



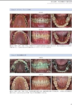
裁断済みとなっております。書き込みやマーカー等なく、比較的綺麗な状態となっております。補綴設計と咬合に関する実践的なガイドブック。- タイトル: Restorative Design & Practical Occlusion- 著者: 本多正明- 章: 第6章- 内容: 補綴設計に関する実践的なケーススタディご覧いただきありがとうございます。
| カテゴリー: | 本・雑誌・漫画>>>本>>>健康・医学 |
|---|---|
| 商品の状態: | 目立った傷や汚れなし","細かな使用感・傷・汚れはあるが、目立たない |
| 配送料の負担: | 送料込み(出品者負担) |
| 配送の方法: | 佐川急便/日本郵便 |
| 発送元の地域: | 東京都 |
| 発送までの日数: | 1~2日で発送 |
レビュー
商品の評価:




4.5点(3011件)
- たんぺんかな
- 内容が薄いです。 プライベートゾーンを教えるなら、遠見さんの「だいじだいじどーこだ?」の方がいいですね。
- 真夜中の精神的な猫
- 1歳10ヶ月の子供に買いました。届いてから毎日10回以上読んでいて、所々暗唱しています。今年初めて花火を見たのですが、花火のページを見て思い出しています。わにわにの他の本も欲しくなりました。
- kmbys30
- サンタさんからのプレゼントに。 文字が読めない子も、気に入って毎日のように見ています。最近のポケモンのことはよくわからないので、毎日のようにポケモンの名前や進化について聞かれても答えられず、ストレスだったので。相変わらず名前は聞いてくるけど、カタカナを覚えたての上の子が読んであげたりしてよく見ています。買ってよかったです。
- うしおかさん
- 子供用に。まだ三ヶ月なのでよく分かっていないので、これから使えるようになるといいなぁ…
- 祐20306973
- ツボにはまりました! 子どもが保育園で読んだと話してくれて、読んでみたくて買いました。 コロコロコロッケそろってごろね…とか、ラップ調な読んでみたりして楽しんでます(笑)
- せぶんすた4954
- 読んで〜と持ってくる絵本の中で、よく読んであげている絵本です。色んな色の車がたくさん出てくるので、見ていて面白いみたいです。
すべて見る
お店の情報
7,367
連絡・応対
4.3
配送スピード
4.3
梱包
4.3










